Inobitec DICOM Viewer

4.3. Merge layers

____________________________________________________________________________________________

Functionality is available in the Pro edition
____________________________________________________________________________________________

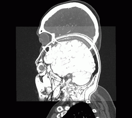
Fused layers do not always coincide, particularly in cases when two different studies are fused (Fig. 4.2). In this case, you need to merge layers.

To merge layers:

  1. Open the fused series in the Multiplanar Reconstruction window by clicking the MPR reconstruction PIC button on the toolbar.

  2. In the Multiplanar Reconstruction tab, open the segmentation panel by clicking the Segmented structure panel PIC button. There is the Fusion of layers panel at the bottom of the Segmentation panel (Fig. 4.3).

  3. Select the layer which must be merged with the base one. If the selected layer has the same "FrameOfReferenceUID" tag value as any other layer, then you will see a PIC button on the Fusion of layers. You will find more information on merging layers with a locked system of coordinates in Section 4.3.1.

  4. Merge layers automatically (see Section 4.3.2), manually (see Section 4.3.3) or by points (see Section 4.3.4).





To reduce the Fusion of layers panel, click the Hide PIC button. To expand the reduced panel, click the Show PIC button.

To customize the fusion mode settings, click the Options  PIC button on the Fusion of layers panel. The respective dialog box is shown in Fig. 4.4.



4.3.1 Locking the Frame of Reference for a Layer

____________________________________________________________________________________________

Functionality is available in the Pro edition
____________________________________________________________________________________________

The position of series of the same study is normally specified in the same frame of reference. The identifier of the frame of reference is provided in the "FrameOfReferenceUID" DICOM tag. Series with the same "FrameOfReferenceUID" tag value have the same frame of reference.

If the selected layer has the same frame of reference as any other layer, you will see the  PIC button on the fusion of layers panel. This button is not shown for the first (basic) layer.

When layers are fused, layers with a locked frame of reference change their position simultaneously with the other layers that have the same frame of reference. If a layer with a locked frame of reference has the same frame of reference as the basic (first) layer, it cannot be merged without unlocking.

To merge layers with a locked system of coordinates, proceed as follows:

  1. Select the layer whose coordinate system you want to unlock for merging. You will see a PIC button on the Fusion of layers panel.

  2. Click the Unlock layer frame of reference PIC button on the Fusion of layers panel. The button for a layer with unlocked coordinate system appears as PIC .

  3. Merge layers automatically (see Section 4.3.2), manually (see Section 4.3.3) or by points (see Section 4.3.4).

  4. If needed, unlock the coordinate system of the other layers and merge again.

The frame of reference is locked and unlocked for each layer separately. Layers with an unlocked frame of reference can be moved independently. When you customize the position of layers with a locked frame of reference, it has no impact on the layers with an unlocked frame of reference.

To restore the original frame of reference for a layer, click the Lock layer frame of reference  PIC button on the fusion of layers panel. After unlocking, the layer restores the position it had before the Lock layer frame of reference PIC button was pressed.

The settings concerning the position of layers and the information on locking are saved in the segmentation project (see Section 6.11.1) and when matrices are exported to DICOM (see Section 4.3.5).

4.3.2 Merge layers automatically

____________________________________________________________________________________________

Functionality is available in the Pro edition
____________________________________________________________________________________________

To merge layers automatically:

  1. Click the Merge layers automatically PIC button on the Fusion of layers panel (Fig. 4.3). This starts the merging process, the Optimizing correlation dialog will open.

  2. To cancel the merging process, click the CANCEL button in the Optimizing correlation dialog.

  3. When the merging process is completed, click the DONE button.

  4. Merging quality can be poor if the tissue density on the merged layers is very different. In this case, check the Gradient correlation box on the Fusion mode settings dialog (see Section 4.3, Fig. 4.4) and repeat steps 1-3.

  5. To change the merge accuracy, move the Accuracy of automatic fusion slider on the Fusion mode settings dialog (see Section 4.3, Fig. 4.4). Move the slider to the right for maximum quality. High accuracy requires more time to merge.

To merge layers by part of their volume:

  1. Choose a layer you need to merge with the base layer.

  2. Create a segmented structure for this layer. The mask of the structure should conform to the volume to be merged. The merge is performed by mask rather than by the created segmented structure volume.

  3. Click the Merge layers automatically PIC button.

4.3.3 Merge layers manually

____________________________________________________________________________________________

Functionality is available in the Pro edition
____________________________________________________________________________________________

To merge layers manually:

  1. Activate the Manual layer fusion PIC tool by clicking the left/right/middle mouse button. To continue work with this tool, use the button with which the tool was activated. To learn more about tool control, see Section 1.14.

  2. Match the images in three projections. To do this:

    • drag the selected slice, holding the left mouse button or pressing the cursor management keys PIC , PIC , PIC and PIC ;

    • rotate the selected slice, holding the Alt key (or the Option key for macOS) and the left mouse button;

    • zoom the selected slice in and out, holding the Ctrl key (or the Command key for macOS) and the left mouse button.

  3. To cancel all transformations, click the Reset layer transformations PIC button.

  4. To cancel zoom, click the Reset layer zoom PIC button.

  5. To set the displacement step, set the desired value in the Keyboard move step field of the Fusion mode settings dialog box (see Section 4.3, Fig. 4.4).

  6. When the slices are matched satisfactorily, close the MPR reconstruction tab. The Series fusion tab will reappear on the screen.

  7. Browse the series fusion images to see the result. If the result is unsatisfactory, repeat the merging proccess.

4.3.4 Merge layers by control points

____________________________________________________________________________________________

Functionality is available in the Pro edition
____________________________________________________________________________________________

To merge layers by control points:

  1. Make all the layers transparent except the base one. To do this, move the transparency slider for the MPR windows of the corresponding layer to the left. The transparency slider is highlighted in red in Fig. 4.5.

  2. Select the base layer on the segmentation panel.

  3. Activate the Mark the points PIC tool by clicking the left/right/middle mouse button. To continue work with this tool, use the button with which the tool was activated. To learn more about tool control, see Section 1.14.

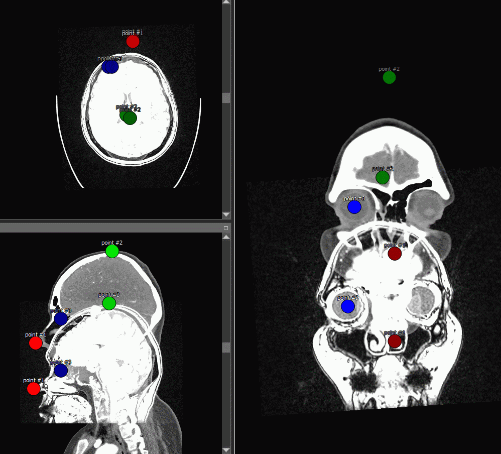
  4. Put at least three control points on the image. Each point has its own colour and number.

  5. Select the layer that you want to fit with the base. Make all the layers transparent except this one.

  6. Put on this layer the same number of control points in the same places as on the base layer. Point numbering starts over again. The colours of the corresponding points are the same.

  7. If necessary, adjust the position of points on all three orthogonal planes. When you locate the cursor on a point, it is highlighted on all three orthogonal planes.

  8. To delete point, locate the cursor on it, right-click the mouse and select the Remove point item.

  9. To switch to slices containing a point, move the cursor to this point, right-click the mouse and select the Go to point item. The point on the current slice is brighter than others.

  10. To delete all points, click on the Remove all points PIC button on the Fusion of layers panel. In the dialog box that opens, click YES to confirm the deletion, or click NO to cancel.

  11. To change the point diameter, open the Fusion mode settings dialog (see Section 4.3, Fig. 4.4). Set the diameter of the points.

  12. Click on the Fit layers by points PIC button on the Fusion of layers panel. The second layer will be moved in such a way that the corresponding points are as close to each other as possible.

  13. If necessary, adjust the position of the points and repeat the previous step again.

  14. If necessary, add the same number of points on all the layers.



Fig. 4.6 illustrates the example of control points location. Red dots (#1) are located on the tip of the nose, green (#2) on top, blue (#3) on the right eye.



If the points are set correctly, they match with little margin of error. If the points are set inaccuratly, the result looks something like in Fig. 4.7.



4.3.5 Export and Import Matrices of Merge Layers

____________________________________________________________________________________________

Functionality is available in a separate module which is activated in the Pro edition for an extra fee
____________________________________________________________________________________________

The DICOM Viewer exports and imports matrices of merge of layers into DICOM Spatial Registration IOD (modality REG).

To export merge of series, click the Export series registration to DICOM object PIC button on the Fusion of layers panel (Fig. 4.3).

In the dialog box Export to DICOM Registration (Fig. 4.8) add the description of the exported merged series. By default, the series description is "Registration". Click OK button to export series or CANCEL to cancel.



The exported merged series will be saved in the local storage as a new series with REG modality. A thumbnail for the new series will be added to the series panel in the study containing the base layer.

To import a matrix merged layers:

  1. Make a series fusion from the series for which the object was exported DICOM Registration. Pay attention to the order of the series selection. Select the first (base) layer.

  2. Click the Import series registration from DICOM object PIC button on the Fusion of layers panel (Fig. 4.3).

  3. In the dialog box Import from DICOM Registration (Fig. 4.9) select a REG modality series to import. Click OK button to import series or CANCEL to cancel.



The layers are merged relative to the first (base) layer.