To select the mode for viewing images of the same study, right-click on the image to open context menu, select the Image arrangement... item, and then select one of the displaying modes. In general, they are similar to the modes for displaying series.
Image displaying modes:
Stacked. Set by default. A single image is displayed in the window.
2 below. Two images are displayed in the window, one above the other. The image order is downward. The entire screen is scrolled at once (i.e. if Images 1 and 2 of the same series are initially displayed, Images 3 and 4 will be displayed next), or one Image is scrolled at once. Selection of the desired mode is described in Section 16.7.1). To apply a new configuration, you should reopen the Flat Image View Tab.
2 near. This mode is similar to the previous one, but the images are positioned horizontally, and the order is from left to right.
2x2. Two columns and two rows of images are displayed in the window. The order is downward from left to right.
2x3, 3x2, 3x3, 4x4. Similar to the previous item.
Custom arrangement. The number of columns and rows is set manually (from 1 to 10). This configuration can be set by default (see Section 16.7.1).
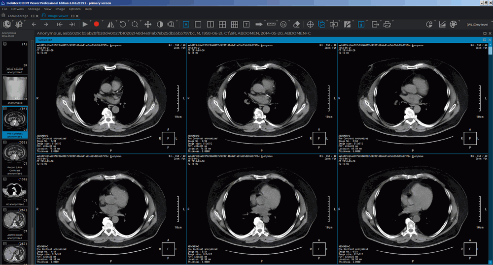
Fig. 2.17 illustrates a 3x2 grid.
Multiple series may be displayed on the screen simultaneously, and each series window may contain multiple images. In Fig. 2.18, three series windows are open, the first one displays a single image, the second contains a 2x2 grid, and the third shows a 4x4 grid.
To set default viewing images modes for series of different modalities, add settings for these modalities (see Section 16.7.1). Use only English letters to specify modality. The modality designation should coincide with the designation on the icon of the series (Fig. 2.19).