Inobitec DICOM Viewer

7.1. Open Studies in Vessel Analysis Module

____________________________________________________________________________________________

Functionality is available in a separate module which is activated in the Pro edition for an extra fee
____________________________________________________________________________________________

To open a study:

  1. Load studies to the DICOM Viewer.

  2. Select the angiographic study and the series with contrast.

  3. Click the Vessel analysis PIC button on the toolbar. To select the tab location (in the current window, in a separate window or in the full screen mode), click on the arrow on the right side of the button. To open the virtual endoscopy window in a new tab in the current window, click on the button. The process may take some time.

If you open a CT study, then the DICOM Viewer promt you to select a series without contrast to remove bones.

PIC The dialog box for selecting a non-contrast-enhanced series pops up automatically only if the series is opened for the first time. When the same series is opened again, the dialog box does not pop up, but you can open it manually in the menu of the "New vessel" button.

The following series are not shown in the dialog box for selecting non-contrast-enhanced series (Fig. 7.1):

  • Series with a modality other than CT;

  • Series incompatible with 3D;

  • The current series (opened in the Vessel analysis tab).



In the dialog that opens, select the seris without contrast and click OK to remove bones or CANCEL to cancel deletion.

If the study does not contain any series with an opportunity to delete bones, the dialog box does not pop up.

To open the bone removal dialog (Fig. 7.1) manually, click the arrow on the right side of the New vessel PIC button and select the Subtract bones item. The command is only available for series with CT modality. If there are no suitable series, a notification will pop up when the user selects the Subtract bones command.

This process takes some time.

To enable/disable the function of displaying a dialog box requesting a non-contrast-enhanced series for bones deletion when opening a study, on the main menu select the Options->Settings...->Modules->Vessel analysis, UI tab and check/uncheck the Request a non-enhanced series to remove bones on window opening box. The dialog box is displayed by default.

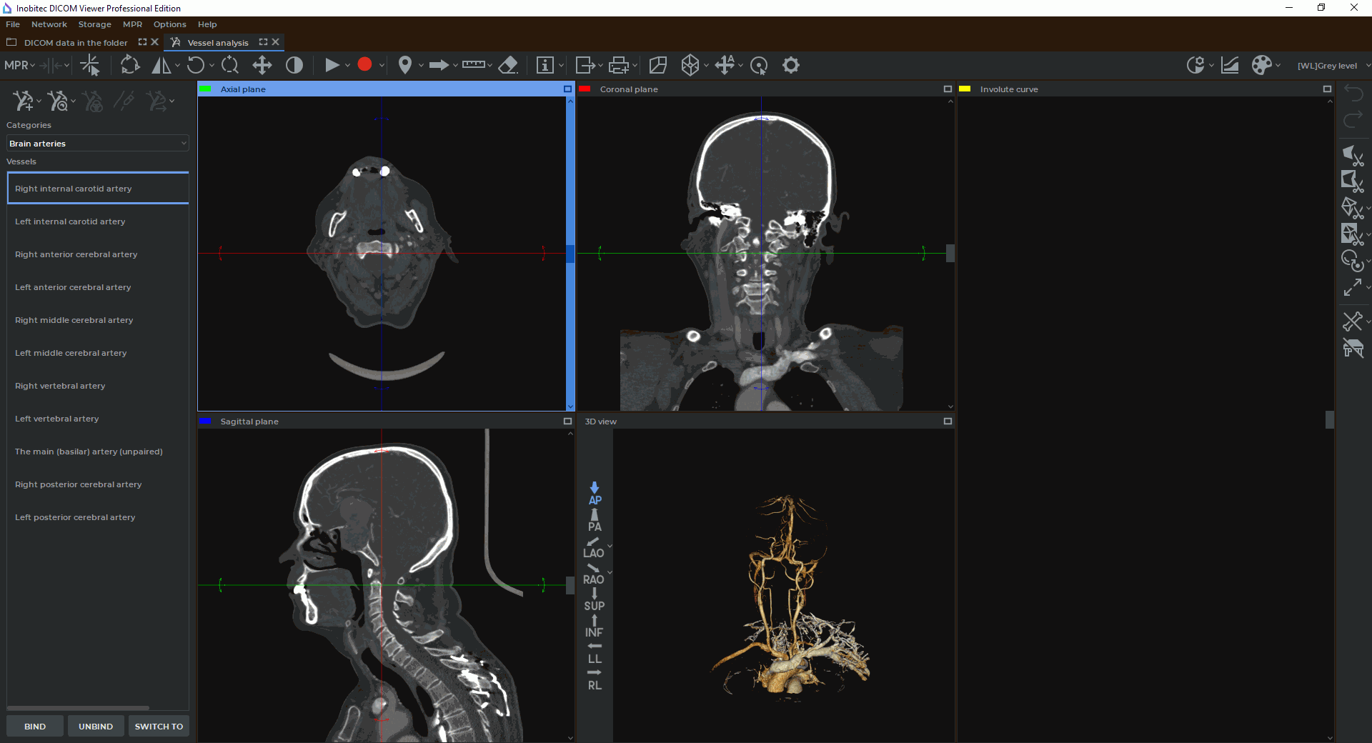
The vessel analysis window is shown in Fig. 7.2.



The windows display the axial, coronal, sagittal sections and a 3D view. In the 3D view window, you see a 3D model and a standard space orientation panel (for details see Section 3.3). These windows are used to build the centerline. Vessel sweep is displayed in the Involute curve window.

Cutting planes can be moved in the same way as they are moved in the MPR reconstruction tab (see Section 5.5.1.

To cancel rotation of all the images and the involute curve, click the Reset views orientation PIC button on the toolbar.

7.1.1 Vessels list

____________________________________________________________________________________________

Functionality is available in a separate module which is activated in the Pro edition for an extra fee
____________________________________________________________________________________________

The built centerlines can be saved on the list of vessels until the window is closed. To save the built line select the vessel category from the drop-down list Categories in the panel shown in Fig. 7.3; next, select the vessel below and click the BIND button. The PIC pictogram appears to the right of the selected vessel on the list. To switch to the previously saved centerline, select the vessel on the list and click the SWITCH TO button. To remove the centerline from the list, click the UNBIND button. The PIC pictogram disappears.

PIC Attention! If the current centerline is not bound to any of the vessels on the list, then when you built another line, it will be lost.